AI detection of COVID-19 using X-rays
AI detection of COVID-19 using X-rays

The Language of Genomes
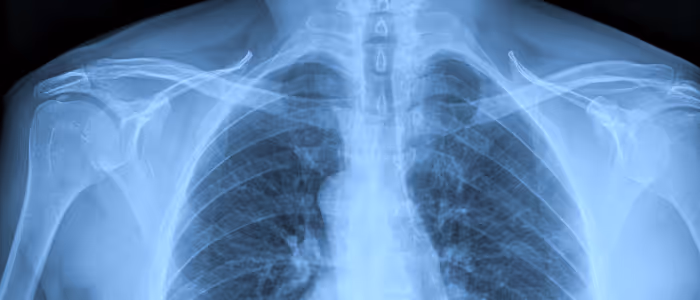
Researchers from the Universidade Federal do Ceará, Instituto Federal do Ceará and Universidade de Fortaleza (all Fortaleza, Brazil) report on the potential for the use of x-ray images combined with artificial intelligence as a tool for the automatic detection of COVID-19.
Using 194 chest X-ray images of patients diagnosed with COVID-19 and 194 chest X-ray images of healthy patients, researchers trained various artificial intelligence networks using different frameworks of convolutional neural networks. The networks were combined with several different machine-learning methods to train and teach a model to detect lungs that may be infected with COVID-19 based on X-ray images.
Expert Insight on the Future of Healthcare
with world-renowned experts
Sign up to read Future Medicine exclusive content
Already a member? Login to view
Whats are best thing we can offer you
Whats are best thing we can offer you
.png)
.png)
.png)